Es una entidad autolimitada y benigna de los apéndices epiploicos del colon secundaria a la torsión del pedículo vascular o trombosis espontánea del drenaje venoso de estos.
La apendagitis epiploica aguda y el infarto de omento son procesos inflamatorios intraabdominales que se manifiestan clínicamente como dolor abdominal agudo, localizado con mayor frecuencia en flanco o fosa iliaca derecha, en el caso del infarto omental, o izquierda, en la apendagitis epiploica.
El cuadro clínico puede simular tanto una diverticulitis aguda, como una apendicitis.
El cuadro clínico puede simular tanto una diverticulitis aguda, como una apendicitis.
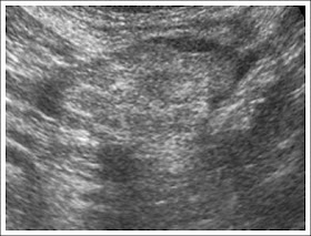
Las características ecográficas son:
Masa ovalada hiperecoica bajo el punto de máximo dolor
Halo hipoecoico en la periferia de la lesión
Adherida a la pared anterior peritoneal
No Compresible
En general de tamaño < 5 cm
Masa ovmaalada hiperecoica bajo el punto de máximo dolor
Halo hMipoecoico en la perifería de la lesión
Adherida a la pared anterior peritoneal
El tratamiento es conservador con analgésicos y AINE. Aquí teneis una sesión de los residentes del hospital de León al respecto
¡ Siempre es tiempo de aprender!
Normalmente <

